Общество
24 Апреля 2025, 09:34

В Башкирии хирург спас руку военнослужащего СВО

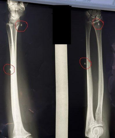
В городской больнице Салавата успешно прошла уникальная операция для участника специальной военной операции из Кугарчинского района. Об этом сообщает ИА «Башинформ» со ссылкой на Министерство здравоохранения Республики.

В Башкирии хирург спас руку военнослужащего СВОВ Башкирии хирург спас руку военнослужащего СВО
В Башкирии хирург спас руку военнослужащего СВО

Операцию провёл нейрохирург Арслан Асылбаев. В настоящее время военнослужащий проходит курс реабилитации, и подвижность его руки постепенно восстанавливается.

Фото:Городская больница города Салават

В Башкирии хирург спас руку военнослужащего СВО
В Башкирии хирург спас руку военнослужащего СВО
Автор:Галия Каримова
Читайте нас